Skip Menu
Continue
Call
Today
for a Free Consultation
1841 Newman Road, Okemos, MI 48864
(517) 349-9692
Home
Services
Cosmetic Dentistry
Invisalign®
Teeth Whitening
Children's Dentistry
Crowns & Bridges
Dentures & Partials
Emergency Dentistry
General Family Dentistry
Porcelain Veneers
Restorative Dentistry
View All
New Patients
Patient Login
Dr. Carlin
Brian Carlin, DDS
About Us
Dental Health
Reviews
Appointment
Pay Online
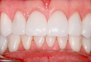
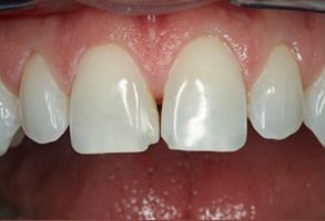
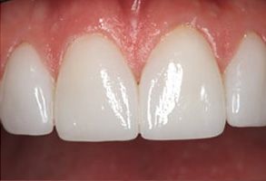
Smile Gallery
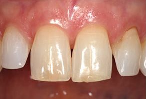
Before
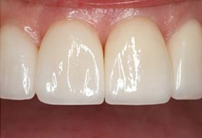
After
Before
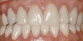
After
Before
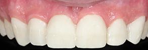
After
Before
After
Before
After
Before
After
Before
After
Before
After
Before
After
1841 Newman Road,
Okemos, MI 48864
(517) 349-9692
Appointment
Contact Us